At Optimal Dental Health, we believe that a beautiful smile should never come at the expense of your long-term dental or overall well-being. That’s why we practice minimally invasive cosmetic dentistry in London, an approach designed to enhance your smile while preserving as much of your natural tooth structure as possible.
From no-drill porcelain veneers to non-invasive composite bonding and gentle teeth whitening, our techniques focus on health, comfort, and harmony with the rest of your body. Combined with our holistic philosophy, we look at the whole person, not just their teeth, when planning your smile transformation.
What Does “Minimally Invasive” Mean?
Traditional cosmetic dentistry often involves significant reshaping of teeth, drilling away enamel, or placing restorations that require removal of healthy tooth. While these methods can produce beautiful results, they also carry risks, such as tooth sensitivity, weakened enamel, and long-term maintenance needs.
Minimally invasive cosmetic dentistry in London uses advanced materials, precise techniques, and a health-first mindset to achieve the same aesthetic improvements without unnecessary damage. The goal is simple:
- Preserve your natural teeth for life
- Enhance beauty with subtle, conservative changes
- Support whole-body health through gentle, biocompatible materials and methods
Dr Ilan says “I love minimally invasive dentistry because, just like a Doctor, one of the core principles of a Dentist is to do no harm, and with minimally invasive dentistry we do no harm AND make the patient look great!”
Composite Bonding: Subtle Enhancements Without Drilling

If you have small chips, gaps, discoloration, or uneven edges, non-invasive composite bonding may be the ideal solution. This technique uses a tooth-coloured resin that is artistically sculpted onto your teeth to restore shape and colour, without removing healthy enamel.
Why our patients love composite bonding at Optimal Dental Health:
- No drilling or injections – The process is comfortable and anxiety-free.
- Immediate results – You’ll walk out the same day with a refreshed smile.
- Reversible and adjustable – Because your natural tooth is untouched, you can change or remove bonding in the future.
- Holistic focus – We use biocompatible composite materials that are safe for you and your body.
Composite bonding in Baker Street is perfect for patients who want a quick boost in confidence without committing to more permanent treatments. And because we avoid invasive preparation, the health of your teeth remains fully intact.
Porcelain Veneers: No-Drill, Ultra-Thin Smile Makeovers
Veneers have a reputation for being a “Hollywood” transformation, but many traditional veneers require filing away significant enamel. At Optimal Dental Health, we offer no-drill and ultra-thin (Durathin), durable porcelain veneers, which can be placed over your natural teeth with little to no alteration.
Benefits of no-drill veneers:
- Natural preservation – Your tooth structure stays almost entirely intact.
- Beautifully realistic – Advanced ceramics mimic the light reflection and translucency of real enamel.
- Stain resistance – Unlike natural enamel, porcelain keeps its brightness for years.
- Long-lasting – With proper care, minimally invasive veneers can last over a decade.
Because we respect the natural architecture of your teeth, the process is gentler, reduces sensitivity, and supports the long-term stability of your smile.
Why Book Your Treatment With Dr Ilan Preiss?
“I provide a kind, non-judgmental approach, with all treatment options laid out for you, which we can choose together. I can discuss what treatments can achieve your smile goals in the most conservative way.
My artistic approach will create a smile that is unique to you. No two smiles are the same and they are created with your goals in mind, but also to match your face shape, skin tone and even general personality.”
Finally, I love the work I do, and give more than 100% to every patient. Most of my patients end up becoming friends for life, as we go through the smile design journey together.”
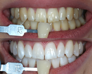
Teeth Whitening: Gentle Brightening for Healthy Enamel

A radiant smile doesn’t require harsh chemicals or aggressive bleaching. Our gentle, professional teeth whitening treatments are designed to lift stains while keeping your enamel strong and your gums healthy.
Our whitening philosophy:
- Custom-fitted trays – Ensures even results and allows easy ‘top-ups’.
- Professional-grade gels – Effective yet gentle formulas that minimize sensitivity.
- Gradual brightening – A safer approach than “power bleaching,” giving your teeth time to adapt.
- Whole-body safety – We select whitening products that are proven safe and avoid ingredients that may disrupt your overall health.
This means you can achieve a brighter, confident smile without compromising comfort or long-term tooth strength.
A Holistic Approach to Smile Design

Your mouth is part of a larger system, your body and we believe dentistry should honour that connection. Before recommending any cosmetic procedure, we evaluate:
- Your bite and jaw function
- Your gum and bone health
- Your nutritional and lifestyle factors that influence oral health
- Any medical conditions or sensitivities
By considering these factors, we ensure that your new smile supports your overall health, not just your appearance.
Why Patients Choose Optimal Dental Health

Our patients trust us because we:
- Put preservation first, your natural teeth are irreplaceable.
- Offer advanced, conservative techniques like no-drill veneers and non-invasive bonding.
- Use biocompatible, safe materials for every procedure.
- Take the time to understand your health history and goals.
- Create smiles that look beautiful and feel natural, now and in the future.
Ready to enhance your smile the holistic way?
Call us today on 020 392 1000 or email our team to book a cosmetic consultation with Dr Ilan Preiss at hello@optimaldental.co.uk.
Your smile design journey starts here!

